Cabinet dentaire du Dr Vanessa TAVEL
Chirurgien dentiste à Annet-sur-Marne - Pratique de l'orthodontie
118 rue du Général de Gaulle, 77410 Annet-sur-Marne
+33 1 60 26 41 07
Cabinet dentaire du Dr Vanessa TAVEL
Chirurgien dentiste à Annet-sur-Marne - Pratique de l'orthodontie

Blog - Page 3

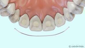
Fil de contention

Fil de contention

Traitement multi-attaches

Traitement multi-attaches

Orthodontie : la traction d'une canine palatine incluse

Orthodontie : la traction d'une canine palatine incluse

Traitement orthodontique esthétique par gouttières

Traitement orthodontique esthétique par gouttières

Expansion palatine - activation du disjoncteur

Expansion palatine - activation du disjoncteur

Les gingivites

Les gingivites

Vos gencives sont gonflées, rouge foncé ou bien elles saignent, même de manière épisodique ?
Cette situation peut révéler l’existence d’une gingivite.

Affichage des articles 13-18 sur 88

Création par Webdentiste

Connexion